
Hər kəsi qorxudan “buzlu şüşə” nədir?

"Pandemiya dönəmində insanların sanki kabusuna çevrilmiş bir termin var – “buzlu şüşə” mənzərəsi. Bəzən bunu “buz kristalı”, “buz parçası” kimi də adlandırırlar. Bu görüntü ilk əvvəl adı və səslənməsi ilə insanlarda təlaş, narahatlıq yaradır".
Bu fikirləri Azərbaycan Tibb Universitetinin Tədris Cərrahiyyə Klinikasının radioloqu, ATU-nun Şüa diaqnostikası kafedrasının müdiri, dosent Məlahət Sultanova “buzlu şüşə”nin mahiyyətindən danışarkən deyib.
Həkimin sözlərinə görə, bəzən normal hallarda da “buzlu şüşə” görüntüsü radioloji görüntülərdə izlənilə bilər:
"Məsələn, müayinə zamanı xəstə dərindən nəfəs almazsa və ya müayinə nəfəsvermədə aparılarsa, ağciyərin havalılığının fizioloji ekspirator zəifləməsi səbəbindən bütün ağciyər sahələri homogen olmaqla “buzlu şüşə” görüntüsü verə bilər. Hazırda “buzlu şüşə” görüntüsü koronavirus pnevmoniyasının əsas radiodiaqnostik əlaməti hesab edilir.
Bu o deməkdir ki, normalda şəffaf havalı görünən ağciyərdə belə hallarda yarımşəffaf zonalar izlənilir, ağciyər sanki dumanlı görünür. Bu zaman bronx strukturlarının və pulmonar damarların saxlanması ilə ağciyərlərin eksudat və ya transudatla tutulması, interstisial qalınlaşmalar və ağciyər alveollarının hissəvi kollapsı ilə müşahidə olunan görüntü meydana çıxır. Buzlu şüşə xəstəliyin 3-4 günlərindən inkişaf etməyə başlayır və xəstə sağaldıqdan hətta bir ay sonra belə qala bilir. Xəstəliyin yüngül və orta ağır dərəcəsini keçirmiş xəstələrdə 2-3 aydan sonra dəyişikliklər tamamilə itir”.
Radioloq qeyd edib ki, indi onlara ən çox verilən sual “buzlu şüşə” görüntüsünün indiyədək mövcud olub-olmaması ilə bağlıdır. "Bu, yalnız COVID-19 xəstələri üçün səciyyəvi deyil, digər xəstəliklərdə də görülə bilər. Lakin bu görüntü pandemiya dönəmində uyğun kliniki-laborator əlamətlərlə izlənilərsə, onda diaqnoz COVID xəstəliyi kimi dəyərləndirilir.
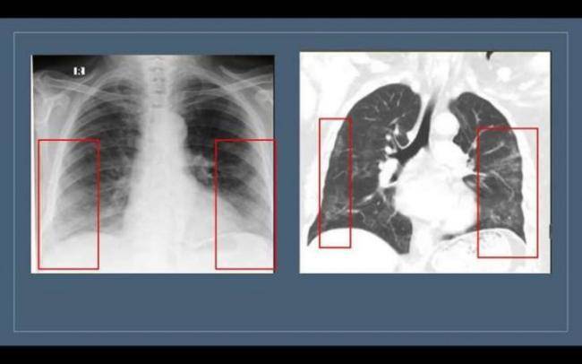
“Buzlu şüşə” görüntüsü döş qəfəsinin rentgenoqrafiya və KT müayinələrində aşkar edilir. Lakin bu məsələdə rentgenoqrafiya müayinəsinin həssaslığı aşağıdır. Ona görə də yoluxmanın ilk 1-4 günlərində rentgenoqram 25% hallarda tam normal ola bilər. Bu, pnevmoniyanın olmaması demək deyil. “Buzlu şüşə”nin KT müayinəsində görülməsi daha spesifikdir", həkim bildirib.
Tibb və səhiyyə xəbərləri üzrə ixtisaslaşmışam. Tibb bacısı kimi işlədikdən sonra jurnalistikaya keçdim.
Bütün məqalələrə baxınEtiketlər
Oxşar xəbərlər

Tanınmış həkimdən koronavirusu evdə müalicə edənlə...
Son Xeberler

"Buzlu şüşə" aşkarlanan xəstələrin sayı açıqlandı...
Son Xeberler

Qarabağda yaradılacaq “ağıllı şəhər” və “ağıllı kə...
Son Xeberler

“Əgər bu ikili standart deyilsə, onda nədir?” -
Son Xeberler

"Testi neqativ çıxanlar da..." -
Son Xeberler

“Qarabağ”ın UEFA reytinqi açıqlandı
Son Xeberler


